Cualquier paciente con un diagnóstico de quiste aracnoideo cerebral debe consultar a un servicio de Neurocirugía con experiencia.
Ante cualquier duda, contáctese con nuestro equipo.
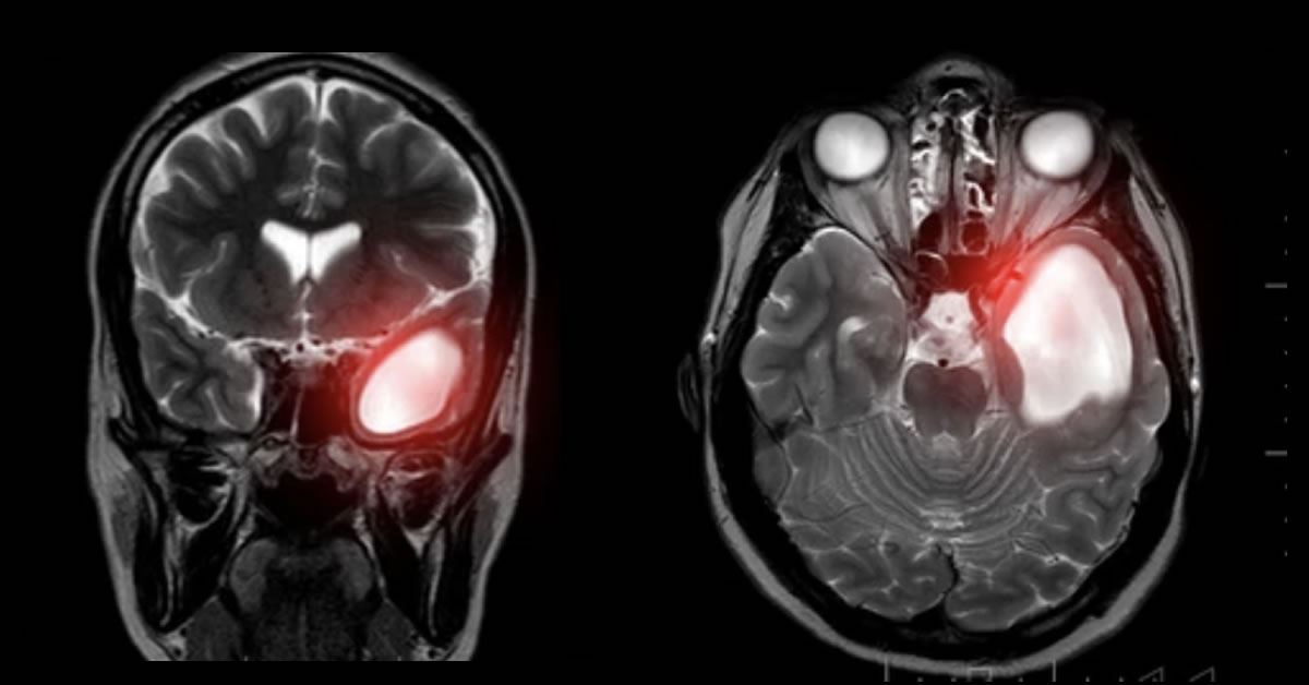
Son quistes no neoplásicos formados por aracnoides (tejido normal que cubre el cerebro). Pueden ser congénitos o adquiridos (ej.:por traumatismo craneal).
La localización es variada, siendo más frecuente en: fosa media (49%), ángulo pontocerebeloso (11%), región selar y supraselar (10%) y fosa posterior en región vermiana (9%) e interhemisférico (5%).
Las manifestaciones clínicas comienzan en la infancia, pudiendo ser leve e insidiosa, según la localización. En oportunidades son asintomáticos y se detectan de forma incidental.
Los quistes de fosa media se caracterizan por presentar cefalea, convulsiones, hemiparesia, trastosnos en el lenguaje, pudiendo sumar clínica de hipertensión endocraneana en quistes de gran tamaño. Los quistes en la región selar pueden presentar clínica de hipertensión endocraneana, pérdida de visión, alteraciones endocrinológicas, retraso en el neurodesarrollo, “bobbing” cefálico e hidrocefalia no comunicante asociada. El paciente pediátrico tiene mayor riesgo de desarrollar un quiste aracnoideo complicado con un higroma subdural a tensión o un hematoma subdural agudo, ambos de resolución neuroquirúrgica de urgencia.
Si usted presenta estas manifestaciones clínicas, contáctese con nuestro equipo a la brevedad.
Se estudian con tomografía y resonancia magnética cerebral específica, para objetivar el tamaño, localización y relación con las estructuras vecinas.
La mayoría de los niños/as con un quiste aracnoideo cerebral requerirán un seguimiento por el neurocirujano, sin necesidad de un tratamiento quirúrgico.
En algunos casos, puede estar indicado un tratamiento quirúrgico. Siendo necesario realizar una comunicación en la membrana del quiste, evacuándolo con técnica microquirúrgica o endoscópica.
Nuestro equipo es pionero en técnicas endoscópicas mínimamente invasivas para el tratamiento de los quistes aracnoideos cerebrales. Estando a la vanguardia y siempre en búsqueda de nuevas alternativas que permitan un mejor tratamiento.
