Cualquier paciente con un diagnóstico de quiste aracnoideo cerebral debe consultar a un servicio de Neurocirugía con experiencia.
Ante cualquier duda, contáctese con nuestro equipo.
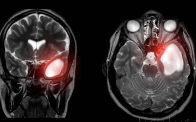
Son quistes no neoplásicos formados por aracnoides (tejido normal que cubre el cerebro). Pueden ser congénitos o adquiridos (ej.:por traumatismo craneal).
La localización es variada, siendo más frecuente en: fosa media (49%), ángulo pontocerebeloso (11%), región selar y supraselar (10%) y fosa posterior en región vermiana (9%) e interhemisférico (5%).
